Una joven de 19 años acude a urgencias por un dolor abdominal y le descubren una extraña anomalía congénita: órganos del revés
Después de varias pruebas, los médicos se dieron cuenta de que estaban ante un caso muy extraño y que muy pocas personas padecían en el mundo

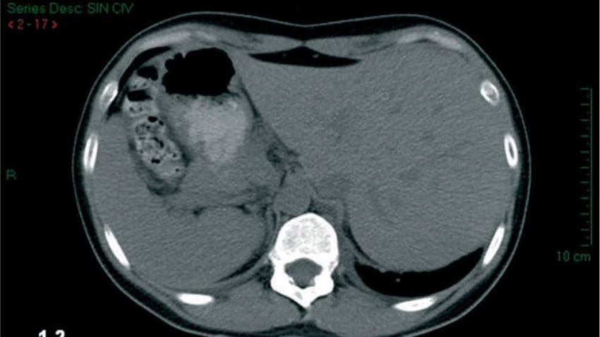
Imagen de la cavidad abdominal de un paciente con esta extraña anomalía
Publicado el
3 min lectura
La medicina, a lo largo de toda su historia, se ha encontrado ante casos de lo más surrealistas y a los que muchos no han podido dar explicación. Cuadros sintomáticos inexplicables, patologías tan raras que escapan a la lógica... e incluso personas que tienen todos sus órganos del revés.
Tal y como te lo estamos contando, hay personas en el mundo que sufren una extraña patología congénita en la que sus órganos vitales están al revés.
TE PUEDE INTERESAR
Este caso lo hemos conocido gracias a Álvaro Carmona, bioquímico, doctorado en Medicina Molecular y profesor en la Universidad Alfonso X el Sabio (UAX), quien se dedica a la divulgación científica a través de sus redes sociales, empleando un estilo desenfadado y coloquial.
En este caso, el joven biólogo arranca el vídeo soltando la pregunta: "¿Te imaginas por un momento que tus órganos estuviesen del revés?".
SITUS INVERSUS TOTALIS: ESTA ES LA EXTRAÑA PATOLOGÍA
"Paciente femenina de 19 años. Acude a Urgencias por un dolor abdominal que aumenta de intensidad. Tras el examen físico y la bioquímica se intuye que puede ser una apendicitis o una colestasis, y para ello se le hace una eco abdominal", comienza explicando el joven biólogo. Fue entonces cuando los médicos descubrieron un caso extraño. Se trataba de una rara condición congénita en la que los órganos están dados la vuelta.
"El hígado en la izquierda y el bazo en la derecha", ejemplifica.

Tomografía computarizada de un paciente con esta anomalía
Esta condición se llama situs inversus totalis, "una rara condición congénita en la que los órganos principales del cuerpo están invertidos o espejados respecto a su posición normal". Agrega que esta enfermedad, como tal, no supone un riesgo para la salud de la persona ni tampoco conduce, precisamente, a problemas de salud.
De hecho, Carmona explica que hay muchas personas en el mundo que padecen esta anomalía y no lo saben. No, al menos, hasta que van al médico y les hacen las pruebas pertinentes o, en su defecto, pruebas que pueden evidenciar que existe algo extraño en el cuerpo de esta persona.
El vídeo completo puedes verlo aquí o, en su defecto, también puedes seguir leyendo.
¿cuáles son las complicaciones de esta enfermedad?
El situs inversus totalis es una variante poco genética, según consta en diversas revistas científicas, y además es asintomática, es decir, no se presentan síntomas que puedan evidenciar que una persona sufre esta patología. Y es que si bien es cierto que se trata de una anomalía con muy baja incidencia en la población y su hallazgo es habitualmente accidenta, puede causar patologías compatibles con la ubicación de estos órganos.
El biólogo explica que "los principales problemas o complicaciones que puede tener esta condición son principalmente en el diagnóstico y el tratamiento de condiciones médicas, porque la posición invertida de los órganos puede complicar el diagnóstico".

Tomografía computarizada de tórax de un paciente con situs inversus totalis
Y pone así, como ejemplo, el apéndice. "Si te lo estoy mirando y está en otro lado, pues es un problema", apostilla. En cualquier caso, ha explicado que "se ha visto que está asociado a algunos problemas respiratorios porque en los cilios de las células de nuestros pulmones están afectados, son un poco atróficos".
Y otro de los problemas que se presentan, en muchos casos, son las intervenciones quirúrgicas. "Lo tienen que hacer todo al revés y realmente, a no ser que te hayan hecho una eco, no tienes ni idea de cómo están distribuidos tus órganos", concluye, dejando en el aire que tú podrías ser una persona con esta extraña anomalía sin siquiera saberlo.




