Este es el sistema de inteligencia artificial que ayuda a proteger a los menores en procesos judiciales
La Universidad de Oviedo participa en el desarrollo de un pionero método basado en radiografías dentales para determinar la edad con una precisión sin precedentes

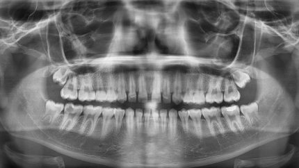
Radiografía panorámica dental | UNIOVI
Oviedo - Publicado el
2 min lectura2:49 min escucha
La Universidad de Oviedo se sitúa de nuevo en la primera línea de la investigación internacional con su participación en un proyecto pionero de inteligencia artificial aplicada a la justicia. Según ha informado COPE Asturias, la institución asturiana, a través del investigador Stefano De Luca, ha colaborado en el desarrollo de un sistema capaz de determinar con gran precisión si una persona es mayor o menor de edad a partir de radiografías dentales. Este avance es clave para proteger a los menores en situaciones de especial vulnerabilidad.
Un modelo entrenado con diversidad global
El modelo destaca por su robustez, al haber sido entrenado con más de 10.700 ortopantomografías de jóvenes de entre 14 y 26 años. Las muestras proceden de doce países de cuatro continentes, lo que garantiza que la IA funcione con una diversidad real y justa. El sistema logra un error medio de apenas 1,12 años y, en la determinación del umbral legal de los 18 años, alcanza una precisión del 88,38%.
Clave en procesos judiciales y migratorios
Este avance tiene una aplicación directa en contextos especialmente sensibles. Entre ellos se encuentran los procesos migratorios sin documentación, los casos de trata o explotación de personas y los procedimientos judiciales donde es clave garantizar la protección de los menores. El estudio se ha desarrollado en conjunto con Panacea Cooperative Research Scope, una spin-off de la Universidad de Granada, reforzando la colaboración científica.

Los investigadores Javier Venema, Stefano De Luca, Pablo Mesejo, David Navega y Óscar Ibáñez
Uno de los elementos más relevantes del sistema es que prioriza la defensa del menor. El diseño incorpora márgenes de seguridad que reducen al mínimo el riesgo de clasificar erróneamente a un menor como adulto. Este enfoque ético cumple con los principios europeos de inteligencia artificial confiable, demostrando, según sus creadores, que "la tecnología puede ser eficiente, ética y justa".
El sistema, según explica el equipo, "permite ayudar, sobre todo en el ámbito forense, a tomar decisiones críticas con gran confianza". La participación de la Universidad de Oviedo a través de De Luca refuerza su posicionamiento como referente internacional en tecnología aplicada a la justicia y los derechos humanos. Los resultados completos del estudio han sido publicados en la revista científica Applied Soft Computing.
Permite ayudar a tomar decisiones críticas con gran confianza"
Investigador de la Universidad de Oviedo
Este contenido ha sido creado por el equipo editorial con la asistencia de herramientas de IA.



