“Cada descarga era como la patada de un caballo en el pecho”: Iván, paciente 800 de trasplante de corazón en el Reina Sofía
Después de 34 años conviviendo con el miedo y el dolor de cada descarga, la vida le ha dado al fin una segunda oportunidad que lo ha cambiado todo por completo

Entrevista a Iván, trasplantado de corazón, y al cardiólgo Anguita
Córdoba - Publicado el
4 min lectura19:04 min escucha
El Hospital Universitario Reina Sofía de Córdoba ha alcanzado un hito histórico en su trayectoria asistencial: la realización del trasplante de corazón número 800. El protagonista de esta cifra redonda es Iván, un vecino de Peligros (Granada) de 40 años, cuya vida ha cambiado por completo tras recibir un nuevo órgano que le ha devuelto la tranquilidad y la normalidad que durante décadas había perdido.
Desde los seis años, Iván convive con una distrofia muscular poco frecuente —Emery-Dreifuss— que comprometía de manera severa su función cardíaca. Su día a día estaba marcado por la presencia de un desfibrilador automático implantable (DAI), un dispositivo que se activa para revertir arritmias graves. Lo que para muchos es una medida de seguridad, para él se convirtió en una pesadilla. “El dolor es indescriptible. Lo compararía con la patada de un caballo en el pecho”, explica. Vivir con el miedo de no saber cuándo llegaría la próxima descarga condicionaba cada aspecto de su vida: no podía conducir, evitaba salir con amigos y apenas se permitía actividades familiares.
La situación se volvió insostenible un día en el que, durante un simple paseo, sufrió hasta 18 descargas seguidas antes de ser atendido por los servicios de emergencia. Ingresó en el Hospital Virgen de las Nieves de Granada y, tras valorar su caso, los médicos plantearon el trasplante como única opción viable. Fue entonces derivado al Reina Sofía, donde tras las pruebas pertinentes entró en lista de espera. Apenas un mes después, el teléfono sonó: había llegado el corazón que esperaba.

Iván junto a su hijo en el monumento dedicado a los donantes
Hoy, su vida es muy distinta. “Ahora puedo llevar a mi hijo al colegio, salir con mi familia, hacer una vida normal”, cuenta emocionado. Su recuperación avanza favorablemente y asegura que, por primera vez en años, ya no siente miedo de que su corazón pueda detenerse en cualquier momento.
El doctor Manuel Anguita, cardiólogo del hospital cordobés, explica que el éxito de estos procedimientos es fruto de la experiencia acumulada a lo largo de casi cuatro décadas y de un engranaje humano y técnico que funciona con precisión. “El trasplante cardíaco implica a decenas de profesionales y requiere una coordinación muy estrecha entre hospitales. Recibimos pacientes de hasta cinco provincias, y siempre trabajamos en contacto con los equipos médicos de origen”, señala. Además, destaca la mejora en la selección de candidatos, el perfeccionamiento del manejo de la inmunosupresión y el papel de las nuevas tecnologías de soporte como claves en los buenos resultados.
UN HOSPITAL REFERENTE
El Reina Sofía es un referente nacional en trasplante de corazón desde que en 1986 realizara el primero en Andalucía. Desde entonces ha sumado 807 intervenciones, de las cuales 110 han sido pediátricas. Solo en 2024 se llevaron a cabo 23 trasplantes y, en lo que va de año, ya son 16. Entre los hitos logrados en estas casi cuatro décadas figuran el primer trasplante de corazón a un menor de un año en España (1992), el realizado al bebé más pequeño del país, de tan solo ocho días (1998), o la implantación del primer corazón artificial en Andalucía a un bebé de 18 meses (2009).

Personal del Hospital Universitario Reina Sofía de Córdoba
La excelencia se ha mantenido hasta la actualidad. Este mismo año el hospital cordobés ha realizado el primer trasplante cardíaco infantil de donante en asistolia en Andalucía, a una niña de tres años, con una supervivencia del 100% en este tipo de procedimientos. El jefe de Cirugía Cardiovascular, Ignacio Muñoz, subraya que aunque la técnica quirúrgica no ha variado sustancialmente, la mayor complejidad de donantes y receptores hace que cada trasplante requiera de un alto nivel de especialización y, en ocasiones, de intervenciones secuenciales previas.
Más allá de las cifras, el caso de Iván simboliza el verdadero valor de este programa: la oportunidad de recuperar una vida plena tras años de limitaciones y sufrimiento. “Este trasplante no solo me ha devuelto la vida, también le ha devuelto la tranquilidad a mi familia”, afirma con una sonrisa que resume la importancia de alcanzar el trasplante número 800 en el Hospital Reina Sofía.
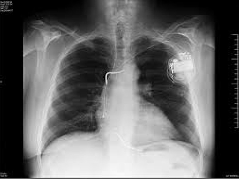
desfibrilador automático implantable
Un desfibrilador automático implantable (DAI) es un pequeño dispositivo que se coloca bajo la piel del pecho y se conecta al corazón mediante unos electrodos. Su misión es vigilar de forma continua cada latido y actuar en caso de que aparezca una arritmia peligrosa.

Desfibrilador automático implantable (DAI) visto a través de una radiografía
El funcionamiento comienza con la monitorización permanente. El DAI registra el ritmo cardíaco y es capaz de reconocer si el corazón late demasiado rápido, demasiado lento o de manera caótica. Cuando identifica una alteración que pone en riesgo la vida, entra en acción. Si la arritmia es rápida pero aún puede controlarse, primero intenta corregirla con una estimulación antitaquicardia: pequeños impulsos eléctricos que buscan devolver al corazón un ritmo ordenado. Si esa medida no es suficiente o el corazón entra en fibrilación ventricular, el dispositivo libera una descarga más potente, parecida a la de un desfibrilador externo, pero administrada desde dentro del organismo para reiniciar la actividad cardíaca.
En los casos en que el corazón late demasiado despacio, el DAI funciona como un marcapasos, enviando impulsos rítmicos que aseguran una frecuencia adecuada. Además, cada episodio que detecta y cada intervención que realiza quedan almacenados en su memoria, lo que permite al médico revisarlos después mediante sistemas de telemetría.



